logo
Самый Сок
  • 29.04.2026
  • Главная
  • Здоровье
  • Еда и питание
  • Человек
    • Истории и стихи
    • Семейные истории
    • Психология
    • Мода и красота
    • Советы
  • Творчество
    • Кино и музыка
    • Фотографии
    • Юмор
    • Искусство и хобби
    • Видео
    • Разное
  • Наш мир
    • Животные и природа
    • Путешествия
    • Наука и технологии
    • Политика
  • Просмотреть все результаты
Главная
Человек
Здоровье

Здоровье

Полезные советы для здоровья. Женские советы на каждый день: польза и вред для здоровья. Советы по здоровому образу жизни.

Здоровье
·09.10.2016

Рак в банке. Шокирующая правда о том, из чего сделаны чипсы.

Здоровье
·09.10.2016

Как убрать мешки под глазами в домашних условиях – 7 продуктов, которые творят чудеса

Здоровье
·07.10.2016

Как аборт влияет на жизнь женщины

Здоровье
·05.10.2016

10 дешевых косметических средств, которые необходимо иметь каждой моднице

Здоровье
·04.10.2016

Избавьтесь от зубного налета, зубного камня и уничтожьте бактерию, вызывающую неприятный запах изо рта с помощью всего одного ингредиента!

Здоровье
·04.10.2016

9 супер способов снять боль с помощью алюминиевой фольги.

ЗдоровьеПсихология
·09.10.2016

Узнав, о чём эта статья, прочитала ее 2 раза! Чувствую себя обновленной…

ЗдоровьеСоветы
·09.10.2016

5 ошибок при использовании гель-лака, которые разрушают ваши ногти

Здоровье
·06.10.2016

4 причины, по которым диетические газированные напитки ничем не полезнее других!

Здоровье
·05.10.2016

Как нас разводят на лекарствах: иммуностимуляторов для защиты от гриппа не существует!

Здоровье
·04.10.2016

Вот как сделать дома самодельный пенициллин. Нет, мы не шутим!

Здоровье
·04.10.2016

10 коммерческих диагнозов на приеме у гинеколога

Здоровье
·09.10.2016

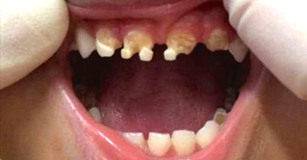
Когда врач увидел зубы 3-летнего ребенка, он задал матери всего один вопрос…

Здоровье
·08.10.2016

Хватит тратить деньги на педикюр: эти 2 простых продукта сделают твои ножки идеальными!

Здоровье
·06.10.2016

Признаете себя курильщиком? Эти 4 суперпродукта могут помочь вам очистить легкие от никотина!

Здоровье
·05.10.2016

Вот из-за каких пищевых добавок ваши дети плохо себя ведут!

Здоровье
·04.10.2016

Вердикт ученых: курение повреждает ваше ДНК и ДНК ваших будущих детей.

Здоровье
·04.10.2016

Мясо, подвергшееся промышленной обработке – канцероген

1 … 17 18 19 20 21 … 88
  • Здоровье
  • Еда и питание
  • Истории и стихи
  • Семейные истории
  • Психология
  • Мода и красота
  • Кино и музыка
  • Фотографии
  • Юмор
  • Искусство и хобби
  • Животные и природа
  • Путешествия
  • Наука и технологии
  • Политика
  • Видео
  • Советы
  • — Контакты | Реклама на сайте
🔍

SEO-продвижение | Доработки сайтов | Администрирование (удаленно)

Вывод в ТОП, рост трафика и продаж

→
  • Главная
  • Психология
  • Истории и стихи
  • Семейные истории
  • Здоровье
  • Мода и красота
  • Еда и питание
  • Советы
  • Кино и музыка
  • Фотографии
  • Юмор
  • Искусство и хобби
  • Животные и природа
  • Путешествия
  • Наука и технологии
  • Видео
  • Контакты | Реклама на сайте
🔍

SEO-продвижение | Доработки сайтов | Администрирование (удаленно)

Вывод в ТОП, рост трафика и продаж

→
© 2015-2026 — Самый Сок ♥ Полезные и интересные публикации.
самый-сок-логотип
  • Здоровье
  • Еда и питание
  • Истории и стихи
  • Семейные истории
  • Психология
  • Мода и красота
  • Кино и музыка
  • Фотографии
  • Юмор
  • Искусство и хобби
  • Животные и природа
  • Путешествия
  • Наука и технологии
  • Политика
  • Видео
  • Советы
  • — Контакты | Реклама на сайте
  • Здоровье
  • Еда и питание
  • Истории и стихи
  • Семейные истории
  • Психология
  • Мода и красота
  • Кино и музыка
  • Фотографии
  • Юмор
  • Искусство и хобби
  • Животные и природа
  • Путешествия
  • Наука и технологии
  • Политика
  • Видео
  • Советы
  • — Контакты | Реклама на сайте
Начните вводить ввод, чтобы увидеть результаты или нажмите ESC, чтобы закрыть
Просмотреть все результаты
Username
Password
Enter username or email
Cancel